Teeth whitening is one of the most sought-after cosmetic treatments for people looking to enhance their smile and boost their confidence. But with so many options available, a key concern remains: Is teeth whitening safe? At Boombae Dublin, the answer is a confident yes. With professionally supervised treatments, Boombae ensures not only stunning results but also complete safety and care for your teeth and gums.
If you’re considering a brighter smile, this guide will walk you through what makes professional teeth whitening in Dublin at Boombae both safe and effective.
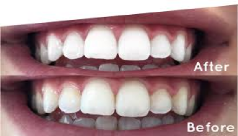
What is Teeth Whitening and How Does It Work?
Teeth whitening is a cosmetic dental treatment that lightens the colour of your teeth by removing stains and discoloration. At Boombae, the process involves applying a whitening agent to the teeth—typically hydrogen peroxide—that breaks down stains and lifts the enamel several shades lighter.
Stains can develop from coffee, tea, red wine, tobacco, or simply from aging. Boombae’s whitening treatment is performed in a controlled environment with professional supervision, ensuring your teeth look whiter without compromising safety.
Is Professional Teeth Whitening in Dublin Safe?
Yes, when done professionally, teeth whitening is very safe. At Boombae Dublin, all whitening treatments are performed by trained specialists using approved methods and materials. Unlike over-the-counter kits, which may contain unknown or unsafe ingredients, Boombae ensures all products meet EU safety standards.
Boombae’s team applies the whitening gel carefully to avoid contact with gums or soft tissue. Sessions are timed and monitored, preventing overexposure and ensuring the process is both safe and effective.
Why Choose Boombae’s In-Salon Whitening?
Boombae’s teeth whitening Dublin treatment stands out because of its dedication to quality and safety. Every session is customised to your individual needs, with a strong focus on comfort and results.
Boombae uses safe, medically approved hydrogen peroxide concentrations, protective gels or barriers to shield your gums, and no UV light or heat—reducing sensitivity risks. All of this happens in a clean, professional setting with trained staff on hand throughout.
What to Expect During Your Whitening Appointment
Your appointment at Boombae begins with a consultation to assess the condition of your teeth and determine the best approach. After applying protective barriers to your gums, the whitening agent is applied. It remains on your teeth for a set period (typically 15–20 minutes) and may be reapplied depending on your desired shade.
Throughout the session, a technician monitors your progress. The entire process typically takes 60 to 90 minutes, and the results are visible immediately.
How Does Boombae Address Tooth Sensitivity?
Tooth sensitivity is a common concern with whitening treatments. Boombae tackles this issue in multiple ways:
They use a peroxide strength that is safe yet effective, apply desensitising gels when needed, and offer personalised care instructions after your session. Sensitivity, if any, is usually mild and temporary—subsiding within 24 to 48 hours.
How Long Do Results Last?
Whitening results can last from several months to over a year, depending on your lifestyle and oral hygiene habits. Your Boombae technician will guide you on how to prolong the effects.
To maintain your whiter smile, you should avoid staining foods and beverages for at least 48 hours after treatment, brush and floss daily, rinse after meals, and refrain from smoking.
Boombae also offers follow-up sessions or maintenance options to extend your results.
Boombae vs At-Home Whitening Kits: What’s the Difference?
You may be tempted by cheaper, over-the-counter whitening kits. However, the safety and effectiveness of in-salon treatment at Boombae cannot be overstated.
With Boombae’s professional whitening, you benefit from controlled peroxide levels that are safe for enamel, precision application by trained experts, and immediate, noticeable results after one session.
Most at-home kits lack gum protection, have weaker results, and come with a higher risk of irritation or enamel damage.
Looking for teeth whitening near me that you can trust? Boombae is the best solution in Dublin.
What Ingredients Does Boombae Use?
The active ingredient in Boombae’s whitening treatment is hydrogen peroxide—a widely used agent in dental whitening. The concentration used is carefully chosen for safety and effectiveness.
Boombae’s team ensures that gums and lips are protected, peroxide is applied evenly, and treatment is timed and monitored. This ensures consistent whitening without damaging enamel or irritating gums.
Post-Treatment Aftercare: Keep Your Smile Bright
Aftercare is key to maintaining results. Here’s what Boombae recommends:
Avoid coffee, wine, berries, and curry for 48 hours. Use a whitening-safe toothpaste. Avoid tobacco and vaping products. Maintain regular oral hygiene routines.
Your technician will also guide you on when to consider future treatments for upkeep.
Why Boombae is the Best Choice for Teeth Whitening in Dublin
Boombae has earned a strong reputation for offering the best teeth whitening Dublin residents trust. From their relaxing salon environment to medically safe procedures, the focus is always on quality and client comfort.
What sets Boombae apart is its advanced whitening techniques, fully trained cosmetic beauty specialists, honest advice and transparent pricing, and long-lasting results tailored to your lifestyle.
Booking Your Appointment at Boombae Dublin
Booking your treatment is easy. Visit Boombae’s Dublin salon page to schedule online or call the team directly. Whether you have questions about sensitivity, results, or suitability, Boombae’s staff are ready to help you make a confident choice.
Conclusion
Teeth whitening doesn’t have to be a risky, uncomfortable experience. At Boombae Dublin, you receive top-tier service in a relaxed salon setting with professional-grade results. Their commitment to safety, comfort, and lasting beauty makes them the go-to choice for anyone looking to enhance their smile.
For those searching for safe, professional, and long-lasting teeth whitening Dublin, Boombae delivers. Book your consultation today and step into a brighter, more confident version of yourself.
Frequently Asked Questions (FAQ)
1. Is teeth whitening safe for everyone?
Yes, when performed by professionals like Boombae’s team. However, it’s not recommended for pregnant women or individuals with untreated dental issues.
2. Will whitening damage my enamel?
No. Boombae uses approved whitening agents that safely lift stains without harming enamel.
3. How often should I whiten my teeth?
Most clients return every 6 to 12 months. Your technician will offer personalised advice based on your habits.
4. What if I have sensitive teeth?
Boombae can tailor the treatment using desensitising agents and milder formulas to reduce discomfort.
5. How white can I expect my teeth to get?
Teeth can become 4–8 shades lighter in a single session, depending on the starting colour.
6. Can I eat and drink right after whitening?
You should avoid staining foods or drinks for at least 48 hours.
7. What makesBoombaedifferent?
Their commitment to safety, skilled staff, and high-grade whitening formulas set them apart in Dublin.
8. Is there downtime after a whitening session?
No downtime required. You can return to your routine immediately.
9. Will whitening affect crowns or veneers?
No, whitening only works on natural tooth enamel.
10. Can I get maintenance kits after my treatment?
Yes, Boombae can recommend safe touch-up solutions for at-home use.
